来源:发布时间:2024-08-27 编辑:校对: 审核:浏览: 次

近日,我院CCU(心脏重症监护病房)黄凯教授团队成功为一名罕见病患者确诊转甲状腺素淀粉样变心肌病(ATTR-CM),为患者点亮了生命的灯塔。
46岁的阿君(化名),反复出现双下肢水肿与乏力症状,久卧病榻严重影响其正常生活和工作,辗转多家医院求医未果。为求进一步诊治,阿君来到我院心血管内科,终于迎来了新的转机。
在黄凯教授的带领下,以钟诗颖副教授为主诊的医疗团队,凭借丰富的诊疗经验和敏锐的洞察力,通过患者发病特点、辅助检查等,发现了淀粉样变性的症状,便顺藤摸瓜、抽丝剥茧,积极有序地展开针对性检查。

心电图提示:窦性心律,肢导联低电压


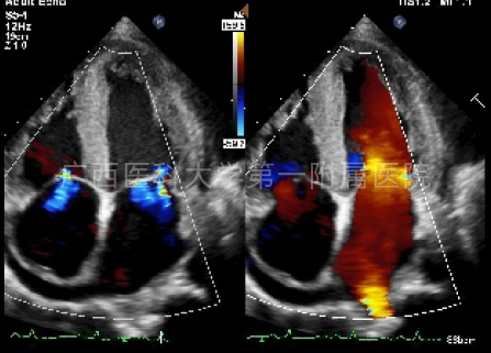
心脏超声心动图提示:双侧心房增大,心室不大,室间隔及左室后壁增厚,心肌回声光点稍呈颗粒状增强
科室迅速组织血液内科罗军主任医师、放射科管学春副主任医师、超声科吴棘主任医师及覃诗耘副主任医师、核医学科李俊红主任医师等专家进行多学科会诊,共同参与讨论,最终确诊为ATTR型心脏淀粉样变,为患者制定了以特效药物氯苯唑酸为主的治疗方案,同时给予患者必要的心理疏导与生活方式指导,重树战胜病魔的信心。


转甲状腺素淀粉样变心肌病(ATTR-CM)是一种罕见、致死性疾病,是由转甲状腺素蛋白错误折叠为淀粉样物质并沉积在心肌间质所致。由于疾病认知度低、临床症状缺乏特异性,常被误诊并造成患者诊断和治疗延误,从而预后不佳。这一隐匿于医学迷雾中的罕见疾病,以其错综复杂的病理构造与变幻莫测的临床表征,长久以来成为医学界亟待攻克的难题。
黄凯表示,罕见病因其病因纷繁、症状模糊,常使患者在初期便陷入漏诊、误诊的困境,错失宝贵的治疗时机。
此次成功案例,不仅是广西医科大学第一附属医院在罕见病诊疗领域的一次提高,也为广西区域罕见病的发展注入新的活力,为更多罕见病患者带来希望。