来源:小儿外科 陈鹏发布时间:2024-11-14 编辑:韦娜 校对:何梦莹 审核:蓝飞燕浏览: 次
10月21日,广西医科大学第一附属医院小儿外科主任罗意革主任医师团队联合麻醉手术中心、新生儿科等相关科室,为出生25天、体重3.7kg的新生儿成功完成机器人“单孔+1”通道胆总管囊肿切除术,是目前国内公开报道体重最小的经单孔通道机器人胆总管囊肿手术。

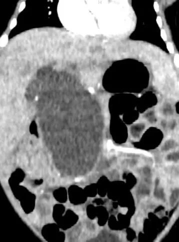
宁宁(女,化名)是国庆节前夕出生的新生儿宝宝,因为病理性黄疸进一步检查发现患有先天性胆总管囊肿。胆总管囊肿是一种先天性的胆管扩张病变,在儿童时期会造成胆汁淤积、胆管炎、肝硬化、急性胰腺炎等,可导致胆管癌变,手术是目前根治胆总管囊肿的唯一方法。


当时,宁宁尚未满月,体重低,我院小儿外科、新生儿科制订了护肝、利胆退黄的保守治疗方案,计划待她3个月大时再行手术治疗。
但计划赶不上变化。保守治疗3周后,宁宁的病情恶化——黄疸进行性加重,大便由黄色变成白色陶土样,胆红素迅速上升,胆总管囊肿的直径从4.5cm增长到6.8cm,这意味着出现了明显的胆道梗阻。
罗意革主任迅速组织多学科团队会诊,在多学科专家讨论后,认为宁宁病情进展迅速,胆总管囊肿破裂穿孔风险大,且短期内会引发肝功能衰竭。经过严谨的手术论证、影像学测绘和手术通道设计,和家属充分沟通后,团队决定为宁宁实施“单孔+1”机器人胆总管囊肿根治手术。

10月21日,手术正式开始。罗意革主任团队在新生儿仅巴掌大小的腹壁上建立了“单孔+1”的手术操作通道,并经过“单孔+1”通道顺利连接组装达芬奇机器人机械臂。

机器人操作手臂组装完成后,主刀罗意革主任在机器人操作平台操控机械手臂,助手医生利用单孔通道辅助手术操作,麻醉医生赵丽妮主任医师、手术室护士钟自勤副主任护师也全程为宁宁保驾护航。
最终,宁宁顺利完成了胆总管囊肿切除+肝总管-空肠-Roux-en-Y吻合术。


罗意革主任介绍,新生儿腹腔操作空间仅有普通儿童的三分之一、成人的十分之一,操作空间十分狭小,手术难度大,尤其是在进行胆道重建时,需将新生儿直径仅5毫米的胆道和空肠进行精细吻合,这需要细致合理地设计和布局机器人手术通道,以及高超娴熟的操作技术。
此次手术整体操作流畅精准,术程2个小时,术中出血不到10ml。术后,宁宁的黄疸迅速消退,肝功能指标好转后康复出院。


此前,国内公开报道机器人手术治疗胆总管囊肿的最小病例为出生25天、体重4.1kg,本次手术刷新了同类手术的最小体重数。
除此之外,相比常规机器人的4个手术通道,“单孔+1”只需在腹壁建立2个通道,在原本微创的基础上进一步减小了手术的切口,是国内公开报道的首个经机器人单孔通道的新生儿胆总管囊肿病例,实现了新的技术突破。
据了解,我院小儿外科目前掌握肝胆、胃肠、泌尿系统儿童机器人微创技术,团队顺利完成近400台儿童机器人手术,包括机器人手术治疗先天性胆总管囊肿、肝脏肿瘤、先天性肾积水、膀胱输尿管反流、肾发育不良、先天性巨结肠、肾上腺肿瘤、胰腺肿瘤等一系列小儿外科疾病。