来源:老年医学心血管内科发布时间:2026-01-23 编辑:韦娜校对:朱瑞璇 审核:蓝飞燕浏览: 次
近日,广西医科大学第一附属医院老年医学心血管内科团队携手超声医学科,成功为一名合并多重解剖变异的心房颤动患者实施高难度射频消融术。该患者不仅呈现“镜面右位心”的完全性心脏反位,更叠加“下腔静脉缺如”“左侧颈内静脉缺失”的极端血管变异,手术路径复杂,操作难度大。此次手术的成功实施,为复杂心脏解剖合并心律失常的治疗提供了临床范式。

▲CT三维重建

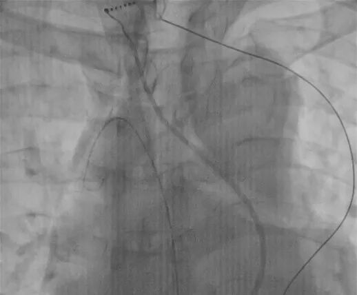
▲导丝由股静脉进入后跨过奇静脉进入右心房

据介绍,该中年男性患者因反复胸闷、心悸症状就诊,在外院确诊为心房颤动。来到我院后,老年医学心血管内科黄伟强教授、返聘专家朱立光教授及何燕教授带领的起搏电生理团队刘星副主任医师、罗蓓蓓副主任医师对其病情进行了综合分析,认为患者有行房颤射频消融指征。
然而,术前影像学检查揭示了其特殊的解剖结构:心脏及大血管呈完全性镜面反位,与常人左右对称相反,这种解剖变异为手术增加了天然难度。
更棘手的是,术中团队发现患者存在下腔静脉缺如,血液需通过扩张的奇静脉回流至右心房,同时左侧颈内静脉完全缺失,双重血管变异直接导致常规经血管入路受阻,房间隔穿刺这一射频消融术的关键步骤更是难上加难。

▲超声未见左侧颈内静脉

▲超声引导右侧颈内静脉穿刺
手术伊始,团队计划采用左侧颈内静脉穿刺建立通路,却多次尝试均未成功。面对这一突发状况,团队并未停滞,随即联合超声医学科展开紧急协作。通过精准的超声影像学评估,手术团队明确了左侧颈内静脉缺失的解剖事实,果断调整策略,于右侧颈内静脉成功建立手术入路,为手术推进扫清了第一道障碍。

▲ICE指引下电刀辅助导丝行穿间隔穿刺,显示导丝成功进入左房。
然而,心脏反位与特殊血管入路带来的挑战并未结束——导管难以与房间隔形成有效穿刺夹角,成为阻碍手术深入的又一难题。在此关键时刻,团队在腔内超声实时引导下,采用电刀辅助穿刺技术,通过导丝成功突破房间隔组织,为进入左心房打开了关键通道。

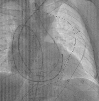
▲冠脉介入球囊扩张技术成功突破房间隔。
但困难接踵而来,外鞘反复尝试不能跨过房间隔,随后团队采用PBMV专用螺旋钢丝支撑和扩张鞘仍未成功通过房间隔。最终,团队另辟蹊径,采用冠脉介入球囊扩张技术成功突破。这一过程中,腔内超声、三维标测系统和冠脉介入技术的融合,为复杂解剖结构下的操作提供了坚实的支撑。

▲刘星采用“倒勾”导管操作方法进行肺静脉隔离。
经过数小时的精细攻坚,团队在突破多重解剖限制后,针对心脏反位、导管操作空间受限的核心难题,采用“倒勾”式消融导管操作技术,有条不紊地完成了双侧肺静脉电隔离。术后,患者恢复正常窦性心律,无并发症发生,目前已顺利康复出院,回归正常生活。
该手术的成功不仅验证了多学科协作模式在疑难病症治疗中的核心价值,更为今后处理类似复杂心脏变异合并心律失常的病例,提供了重要的技术参考与可复制的实践路径。
文中案例仅为个例展示,医疗决策请遵从专业医师具体建议。