来源:器官移植科 陈军泽发布时间:2026-03-26 编辑:韦娜校对:蓝歆旻 审核:蓝飞燕浏览: 次
恶性肿瘤进行外科根治性切除是患者长期生存的关键因素。然而,众多患者首诊时已是中晚期,肿瘤巨大、侵犯大血管及邻近器官,常规手术难以切除。作为器官移植延伸技术“器官离体肿瘤切除+自体移植手术”的应用,为这些濒临绝境的患者带来了新生。
五年前,广西医科大学第一附属医院器官移植科率先在广西迈出了这一步。2020年3月,我院成功完成复杂神经母细胞瘤累及肝脏的离体肝切除+自体肝移植手术;同年6月,完成肿瘤累及肾脏的离体肾切除+自体肾移植手术。每一例手术的关键记录与参数,均及时详实地录入中国国家器官移植注册系统网络,标志着该技术填补区内空白,实现了从“0”到“1”的跨越。

▲器官离体肿瘤切除+自体移植手术示意图。
2020年,年仅3岁的文文(化名)被确诊高危神经母细胞瘤。肿瘤体积巨大,与肝脏、重要血管紧密粘连,多次化疗后仍无法根治切除,生命危在旦夕。
高危神经母细胞瘤是儿童实体肿瘤中恶性程度最高、治疗难度最大的类型之一,常规手术难以解决问题。

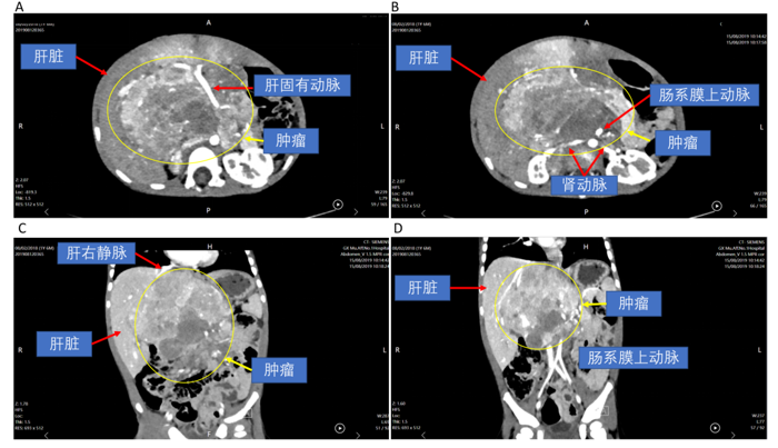
▲文文腹部巨大、复杂神经母细胞瘤CT。
面对被多家医院劝退的晚期肿瘤患儿,面对这个几乎被判“死刑”的孩子,我院器官移植科董淳强主任医师带领团队,在大量研读国内外前沿文献的基础上,提出“离体肿瘤切除+自体肝移植”的创新方案。
当年3月20日,团队成功为文文实施手术。术后文文顺利康复,如今已8岁,健康成长。
2026年3月,文文妈妈回院复诊时几度哽咽:“没有你们,就没有孩子的今天!”这例手术也开启了广西复杂腹部肿瘤诊疗的“离体移植”新时代。

▲现在的文文(8岁,摄于2026年3月25日)。
文文手术的成功并未让团队止步。五年来,器官移植团队持续打磨技术,将“器官离体肿瘤切除+自体移植”打造为破解肝脏“雷区”肿瘤的精准利器。

▲李大爷CT显示,肿瘤位于肝脏所有大血管围成的“危险三角区域”。
2023年,56岁的李大爷(化名)因肝纤维化合并肝癌入院。肿瘤侵犯“第二肝门”,即肝脏血液回流进入心脏的核心危险区域,常规切除会导致肿瘤残留和残余肝脏体积不足;而异体肝移植则面临费用高昂、供体匹配困难、免疫排斥等问题。
团队创新构建了“病肝在体劈离后取出——门体静脉转流——体外低温灌注下精准肿瘤切除——无瘤健康肝组织原位回植”的自主技术体系,实现了“术中少出血、肿瘤零残留、残肝够功能”的目标。术后,李大爷恢复良好,如今已能正常生活。

▲李大爷康复出院。
从2020年的首次探索,到如今规范化开展,器官移植科凭借该技术成功救治多名常规手术无法切除的复杂腹部肿瘤患者。
在临床实践的同时,团队高度重视学术研究。针对肝脏“雷区”肿瘤的诊治经验与技术创新成果,已发表于国际知名肿瘤学期刊《Frontiers in Oncology》,向全球同行分享我院的诊疗方案,标志着该项技术已达到国际先进水平。

▲器官移植科自体肝移植治疗复杂肝癌临床研究论文发表。
如今,我院器官移植科已构建起一套针对复杂疑难腹部肿瘤及肝病的个体化、精准化诊疗体系,在病例适应症拓展、手术流程优化、术后康复管理等方面形成了独特的技术优势,成为广西乃至全国复杂疑难腹部肿瘤救治的中坚力量。
未来,我院将继续深耕这一技术的创新与临床转化,持续提升个体化救治能力,以更高水平的医疗技术、更优质的诊疗服务,为广大患者守护生命、点亮希望。