来源:党委办公室、地中海贫血防治相关学科、学科建设办公室发布时间:2025-09-18 编辑:谭凌宇、邱迪迪(实习生)校对:何梦莹 审核:蓝飞燕浏览: 次
广西医科大学第一附属医院聚焦疑难危重症创新诊疗技术,积极推进“人工智能+医学”融合,在地中海贫血、肝癌、鼻咽癌等地方病及心脑血管疾病等高发病、常见病的防治技术特色鲜明、优势明显。

其中,地中海贫血防治研究已形成“广西模式”推广全国,并在“一带一路”尤其东盟国家进行推广应用形成广泛影响;肝脏移植技术达到世界先进水平;疑难心胸血管诊疗技术、微创外科及腔镜技术、骨与软组织再生技术、机器人手术(妇科恶性肿瘤、消化系统恶性肿瘤、泌尿系统恶性肿瘤、胸部系统恶性肿瘤)、造血干细胞移植治疗地贫、白血病、实体瘤、遗传代谢病和免疫缺陷病、肝癌钇90治疗、晚期肿瘤的粒子植入、靶免综合治疗等多项医疗技术处于国内外先进水平。
乘着9月16日中国—东盟医疗保健合作中心(广西)启用的东风,即日起,我院微信公众号特别策划推出《“聚焦科研和技术创新,攻坚克难提升诊疗水平”——广西医科大学第一附属医院重大科研与诊疗技术展》专题系列报道,敬请关注。今天推出《广西模式 辐射东盟|广西医科大一附院地中海贫血防治研究重大成果展》。
地中海贫血是一种社会危害极大的遗传性疾病,广西是该病高发区,人群基因携带率平均高达20%以上。广西医科大学第一附属医院深耕地中海贫血防治研究和防控模式推广70余年,在地中海贫血诊疗技术研究上取得重大突破、在防控模式推广上取得积极进展,倾力协助广西政府构建实施地中海贫血防治“广西模式”。

▲9月16日,出席中国—东盟卫生合作论坛的中外嘉宾到我院中国—东盟医疗保健合作中心(广西)现场参观,并看望首批入住我院特需国际医疗中心治疗的地贫患儿
【相关报道链接】数智赋能,共享健康——中国—东盟医疗保健合作中心(广西)正式启用
这一可复制、可推广的“中国方案”,不仅惠及国内,更辐射至东盟等“一带一路”沿线国家,为全球地中海贫血防治事业贡献了宝贵的“广西智慧”和“中国力量”。研究成果先后荣膺原国家卫生部科技进步二等奖、广西科学技术特别贡献类特等奖等26项重大科技荣誉。
矢志不移攻坚地中海贫血防治七十载,探索“广西模式”
我院地中海贫血防治研究团队由多个学科组成,包括地方病科(儿科血液病、地中海贫血防治重点实验室)、血液内科、产前诊断与遗传病诊断科、医学影像科、检验科等,拥有专门的实验室用于开展地中海贫血防治研究工作,有完善的地中海贫血基因诊断和产前诊断研究技术平台、地中海贫血治疗的基础和临床研究技术平台。

▲地中海贫血多学科会诊
我院地中海贫血防治研究始于上世纪五十年代,为了减轻地中海贫血给患者、家庭及社会带来的巨大痛苦和负担,我院地中海贫血研究团队经过70多年的日夜攻关,创造了国际国内多项“首创”和“领先”:


一是创建地中海贫血筛查、基因诊断和产前诊断技术,开创广西和国内的地中海贫血防治工作,为广西实现“严重类型地中海贫血胎儿零出生”奠定基础;及为亚洲国家创新研发低成本、快速、准确和高通量的地中海贫血基因突变检测技术并推广应用。

▲铁捕快软件
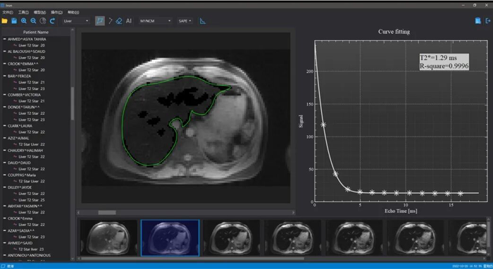
二是率先在国内应用核磁共振技术精准、无创定量检测地中海贫血患者心脏、肝脏铁浓度,完成5000多例地中海贫血患者脏器铁过载监测;搭建了目前国内最大规模的地中海贫血影像数据库,自主研发的人工智能辅助诊断脏器铁过载软件“铁捕快”,在国内和东盟众多医院推广应用。


▲中央4台中文国际频道报道我院治愈老挝籍地中海贫血患者
三是创建了具有国际原创性的地中海贫血移植“广西方案(GX-07-TM)”,该移植方案已在国内广泛推广应用,总体治愈率达95%,移植规模和疗效均达到国际先进水平,我院每年完成移植200~300例,总计完成地中海贫血移植1300余例,居国内领先水平。

▲2016年率先完成首例半相合造血干细胞移植治疗重型地中海贫血。

▲2022年1月,我院首例地中海贫血基因治疗患儿“脱贫”出院,标志着我院基因治疗重型地中海贫血取得新突破。

▲2022年1月,我院儿科首个地中海贫血合并急性淋巴细胞白血病患者行非亲缘造血干细胞移植治疗的病例,标志着我院儿童造血干细胞移植技术再上一个新台阶。

▲2022年12月,在我院通过基因治疗成为国内首例成功“脱贫”的成人重型地中海贫血患者出院。

▲纪录片《重生之旅》
2024年3月,我院成功治愈一名老挝籍重型β-地中海贫血患儿妮娜,帮助她完成“重生之旅”。这是广西开展的第一例外籍地中海贫血患者造血干细胞移植术,也是我院跨境医疗救助的成功尝试,在东盟国家得到了广泛关注,目前陆续有越南、老挝、马来西亚及孟加拉等东盟国家的重型地中海贫血患者慕名到我院寻求干细胞移植治疗。
【相关报道链接】跨越国界的信任!6岁老挝地贫女孩在广西的“重生”之旅

▲2024年5月,我院针对重型β-地中海贫血的碱基编辑临床研究成功治愈18岁老挝女孩,这是国内首位基因编辑治愈的外籍患者。
【相关报道链接】基因编辑治愈首位外籍患者,老挝18岁地贫女孩获新生
四是应用慢病毒转染技术和CRISPR/Cas9技术开展地中海贫血基因替代和基因编辑治疗,重写了“生命密码”,目前已完成地中海贫血基因治疗49例;成功开展全球首例单碱基编辑治疗地中海贫血临床研究,完成9例地中海贫血患者治疗,所有患者均脱离输血依赖。近年来,采用基因治疗技术成功治愈了2名东南亚地中海贫血患者(老挝籍和马来西亚籍),2名非洲裔镰状细胞贫血患者,成功实现了中国镰状细胞贫血患者基因治疗零突破。
建立防治联动新机制,为党委政府重大决策提供“广西医大经验”
根除地中海贫血之痛,关键在“防”。深耕地中海贫血防治数十载,我院地中海贫血研究团队逐渐探索形成了“公众教育—携带者筛查、高危夫妇基因诊断-胎儿产前诊断”的干预模式,有效避免重型地中海贫血患儿出生。
(一)主动参与决策,助推建立“广西模式”。
我院探索建立的地中海贫血防控机制,因其出色的社会效益得到政府高度重视,广西政府以我院防控经验为蓝本,2010年在全国率先启动《广西地中海贫血防治计划》,2018年广西政府又启动了《广西严重类型地中海贫血胎儿“零出生”计划》,医院地中海贫血团队全程参与计划起草和实施,助力政府成功探索形成“政府主导、部门联动、卫生担当、医防协同、群防群治”的广西地中海贫血防治模式,构建起“公众教育、婚前检查、孕前检查、地中海贫血筛查、基因诊断、高危追踪、产前诊断、医学干预、医疗救助”的防治体系,打造了覆盖地中海贫血全周期、全过程的医防协同机制。

▲《地中海贫血的干预:筛查、基因诊断和产前诊断研究》获广西科学技术特别贡献类特等奖
(二)深度参与地中海贫血防控工程,八桂“脱贫”功成有我。

▲2025年6月,广西医科大一附院发布全国首个“覆盖全国、辐射东盟”的地中海贫血防治智慧云平台。该平台通过数字化手段,实现优质医疗资源共享,推动区域医疗一体化,最终构建覆盖全国、辐射东盟的智能防治网络,标志着广西在地中海贫血综合防治方面又迈出关键性一步。
【相关报道链接】覆盖全国、辐射东盟:广西医科大学第一附属医院发布全国首个地中海贫血防治智慧云平台
我院依托地中海贫血研究先发优势,深度参与政府实施的地中海贫血防控计划,在“广西模式”的地中海贫血筛查、基因诊断、产前诊断、移植治疗“四道防线”中发挥了积极作用,有效防范重型地中海贫血胎儿出生,自2010年广西地中海贫血防治计划实施以来,全区共完成了1880多万人筛查和干预,避免了1.78万例重型地中海贫血胎儿出生,2020年达到“广西严重类型地中海贫血胎儿零出生”目标;2024年全区重型地中海贫血患儿出生率较12年前下降96.46%,连续6年达到低于0.3/万的“零出生”目标,节省社会成本超300亿元。

▲《健康报》专版丨八桂“战地贫”:从高发到“零出生”,报道我院为地中海贫血的防治与研究做出的贡献《健康报》专版报道丨八桂“战地贫”:从高发到“零出生”
扬帆出海助力“健康丝路”建设,彰显地中海贫血防治“广西医大贡献”
中国与东盟及“一带一路”沿线国家山水相连,人文相亲,疾病谱相似。“一带一路”沿线的东南亚国家也是地中海贫血高发区,怀着让更多患者脱“贫”的愿望,我院进一步总结凝练地中海贫血防治“中国方案”“中国经验”,扬帆出海,助力“健康丝路”建设。
(一)协助凝练“中国方案”。
我院地中海贫血团队在国家级重大科研项目立项、荣获国家级专利与国家级、省部级成果奖方面成果丰硕,执笔制订了《非输血依赖型地中海贫血诊断与治疗专家共识(2018年版)》《中国输血依赖型β地中海贫血的诊断和治疗指南(2022版)》《中国地中海贫血祛铁治疗指南(2025年)》等指南共识,在行业高水平杂志上发表论文300余篇,不断总结“中国经验”,形成“中国方案”。


2020年获批国家卫健委“地中海贫血防治委省共建重点实验室”;2023年获批国家卫健委“全国地中海贫血防控协作网”国家级牵头单位(全国仅2家),以平台为依托,我院地中海贫血团队积极探索内容更全面、效率更高的“中国方案”。
【相关报道链接】
广西首个!广西医科大学地中海贫血防治重点实验室获批国家卫生健康委委省共建重点实验室
广西医科大一附院担任全国地中海贫血诊疗协作网国家级、省级牵头单位
喜讯!国家卫生健康委地中海贫血防治重点实验室顺利通过建设验收
(二)推动“中国方案”走出国门。

我院地中海贫血研究团队联合泰国等亚太16个国家和地区组建了“亚洲地中海贫血防治协作网”;获得国家科技部支持,与亚洲13个国家开展合作研究。此外,团队设立的“中国—东盟地中海贫血防治国际培训中心”已为东盟等亚洲国家培训1000多名地中海贫血防治人员。团队还主办了一系列国际地中海贫血学术会议,吸引了30多个国家的600多名国外代表参会。

乘着中国—东盟在卫生健康领域合作不断拓展深化的东风,近年来,近年来,医院多次组织地中海贫血防治研究团队走出国门,赴越南、泰国、老挝、马来西亚等东盟国家开展地中海贫血防治技术国际推介、人才培训、科研合作、远程交流与跨境医疗合作,持续推广地中海贫血防治的“广西模式”与“中国方案”,让共通的问题共同解决,助力中国—东盟健康共同体和人类命运共同体建设。

▲2025年7月,我院地中海贫血防治研究团队访问越南中央儿童医院,介绍地中海贫血防治的“广西模式”。双方就地中海贫血筛查、诊断、治疗技术合作、技术人才培训等进行了沟通交流,并看望了该院地中海贫血患儿。