来源:发布时间:2021-05-26编辑:校对:审核:点击: 次

5月21-23日,第五届中国消融论坛暨第九届中国肺癌微创治疗大会在山东济南举行,第四届“泰山杯”青年才俊微波消融才艺大比武暨“针尖上的艺术-优秀病例分享赛2021赛季”同期举行。我院心胸外科肺部肿瘤消融团队在本次大赛中荣获三等奖。
该团队由我院副院长郑宝石教授、心胸外科副主任周华富主任医师、胸外科病区副主任郭建极主任医师指导,阳诺博士主刀,刘俊住院医师为助手,以全面的术前准备、娴熟的术中操作、理想的治疗效果、精致的视频解说获得评审专家好评,在全国大赛中脱颖而出,喜获三等奖。


据了解,本次活动由中国抗癌协会主办,旨在推动肿瘤微创诊疗技术发展,提升患者治疗效果与术后康复质量。会上,我院心胸外科肺部肿瘤消融团队参与制定的《热消融治疗肺部亚实性结节专家共识(2021年版)》也正式发布。该共识将为热消融技术规范应用于肺结节诊治提供科学参考依据,也标志着我院心胸外科肺部结节综合诊治水平进一步提升。
目前,肺癌是世界发病率第二、中国男性发病率第一的癌症,死亡率高居世界及我国首位。近年来,随着低剂量螺旋计算机断层扫描(low-dose computed tomography, LDCT)的广泛应用,越来越多的多发肺部结节被发现(我国检出率高达20%-80%)。由于许多高危肺部结节是癌前病变或早期肺癌征象,谈“结”色变成为了许多肺部结节患者挥之不去的心理阴影。
对于肺部结节的治疗,传统方法是以手术切除为主,但手术切除存在创伤大、难以重复、患者肺功能显著受损等不足,严重时易导致因过度手术治疗而直接影响患者生活质量。因此,如何以最优化的诊疗方式治疗肺部结节,尤其是多发肺部结节,是目前外科治疗领域遇到的瓶颈问题。

微波消融因其具备创伤小、恢复快、可重复治疗多个肺结节、能最大限度保护肺功能等优点,是解决以上外科治疗瓶颈问题的有效手段。
在CT引导下,医生将牙签粗细的微波消融天线经皮肤穿刺到肺部病灶部位,组织内极性分子在微波场的作用下高速运动,互相摩擦产生热量,在病变组织内迅速升温,肺结节病灶发生凝固性坏死, 2-3个月后这一坏死组织逐渐纤维化,最终被人体吸收,病灶消失。

目前,应用微波消融技术治疗肺部结节,主要适应证为:
①因心肺功能差或高龄不能耐受手术切除;
②拒绝行手术切除;
③外科切除后又新出现的病灶或遗留病灶,患者无法耐受再次手术或拒绝再次手术;
④多发肺部结节(先消融主病灶,其他病灶根据发展情况考虑再次消融);
⑤各种原因导致的重度胸膜黏连或胸膜腔闭锁;
⑥单肺(各种原因导致一侧肺缺如);
⑦重度焦虑,经心理或药物治疗无法缓解。
以上患者在消融的同时均可同步活检,明确病理诊断。
个体化的诊疗方案、外科手术与微波消融相结合,是肺部结节、尤其是多发肺部结节最微创、有效、安全的治疗策略。该策略不仅能最大程度保证治疗效果,还可最大限度保护患者肺功能,提高患者生活质量,真正实现让每一位患者不但活得久,而且活得好!

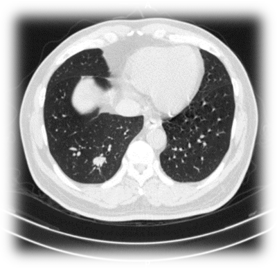
▲患者入院时胸部CT
治疗方案:

手术方式:
单孔胸腔镜下:肺癌根治术(右下肺叶切除+系统性淋巴结清扫)。术后3天顺利出院。
术后病理及分期:右下肺浸润性腺癌,pT1bN0M0, IA2期。

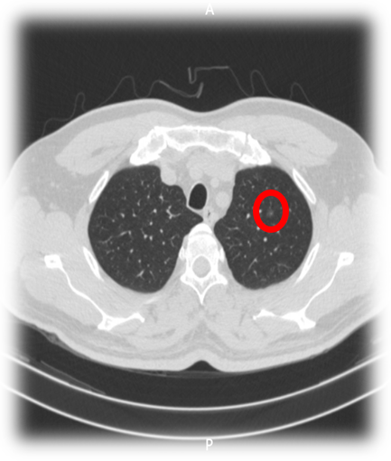
▲左上肺结节右肺术后1月行微波消融(MWA)治疗
MWA治疗过程及效果:

治疗效果理想:

注:血清学肿瘤标示物CEA在右下肺结节手术切除后依然持续升高,在左上肺结节消融治疗后恢复正常。

注:右下肺结节在传统胸腔镜手术切除后,患者肺功能遭到显著破坏。左上肺结节行消融治疗前后,肺功能无明显改变,消融治疗肺结节对患者肺功能具有显著的保护作用。
肺结节手术、消融综合治疗专家门诊时间

内容来源:心胸外科
返回顶部