来源:呼吸与危重症医学科发布时间:2022-03-31编辑:石鹏校对:何梦莹审核:蓝飞燕点击: 次

老覃(化名)今年65岁了,没想到一场他以为“感冒”的病打破了他惬意的退休生活。
去年入冬以来,老覃开始一直咳嗽,以为是感冒,在社区医院治疗也不见好。时间一久,老覃的咳嗽不断加重,甚至喘了起来,连上楼、干家务都觉得吃力。
家人带老覃到广西医科大学第一附属医院就诊,CT报告显示:“间质性肺炎,肺纤维化”。经过进一步详细检查,医生告诉老覃需要住院。他们以为的“感冒”其实是“间质性肺炎”,最后老覃住进了重症监护室。经过治疗,目前老覃已经康复出院。
“间质性肺炎”起病隐匿,病情呈进行性加重,患者的血氧饱和度与氧分压也会明显低于正常水平,危害极大。
1.什么是间质性肺炎

间质性肺炎是间质性肺疾病(interstitial lung disease, ILD)的常见类型,炎症主要累积肺间质,导致肺泡间隔增厚及胶原、纤维组织沉积,肺泡氧气交换能力明显下降。
间质性肺疾病(ILD)是以活动性呼吸困难、限制性通气障碍、弥散功能降低和低氧血症为主要临床表现的一组高度异质性的肺部疾病,大多以肺间质纤维化、非感染性炎性病变为主要特征。
目前为止,引起ILD的原因十分广泛,大致包括环境因素、药物、放射性、免疫相关,还有找不到原因的即特发性间质性肺炎包括特发性肺纤维化。
该类疾病起病隐匿,临床表现多样,影像学分类复杂,为疾病的诊断和治疗带来诸多挑战,是呼吸系统疾病的“硬骨头”。

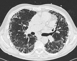
▲肺纤维化的胸部CT表现以胸膜下多发蜂窝、网格影及牵拉性支气管扩张为主要特征
2.哪些原因可导致间质性肺疾病?
职业、生活环境等因素吸入某些矿物质粉尘(如石棉纤维、硅粉、金属粉尘)、霉菌、花粉等。
药物诱发,常见的有胺碘酮、博来霉素、甲氨喋呤等。新型的抗肿瘤制剂,比如靶向药索拉菲尼或是免疫治疗药物抗PD-1制剂等也有出现肺间质纤维化的可能。
风湿免疫病等引起的肺部受累,常见的有类风湿关节炎、干燥综合征、硬皮病等。
吸烟,包括呼吸性支气管炎并间质性肺炎、脱屑性间质性肺炎以及肺朗格罕组织细胞增多症等。
其他一些少见病,如结节病、家族肺纤维化。
新型冠状病毒肺炎(COVID-19)在影像学上也主要表现为双肺间质性炎症,约30%~60%的患者出现不同程度的肺间质改变。
也有一部分患者肺的间质性改变找不到原因称为特发性间质性肺炎。这是一类原因未明,胸部CT有特征性表现的一大类疾病。

3.间质性肺疾病的常见症状
最常见症状是干咳和活动后气短,开始时只有活动或劳作后才出现症状,但随着病情进展,休息时也会有症状。
4.怎么发现间质性肺疾病
如果逐渐出现干咳和活动后气短,应及时到医院就诊,胸部CT检查可提示间质性肺炎,肺间质纤维化,肺间质性改变等。
5.怎么治疗间质性肺疾病
ILD所包括的疾病多达200余种。找出病因是关键,建议三甲医院间质性肺疾病专科门诊就诊查明病因,针对病因做进一步治疗。
返回顶部