来源:重症医学科二病区 柳辉 黄德斌 汤展宏发布时间:2022-02-18编辑:何梦莹校对:韦娜审核:蓝飞燕点击: 次
突然发病高烧不退,
并有肺炎表现,
发病后呼吸急促......
在冬季有这样的表现,
第一想到的就是感染流感。
但没想到,
医生们在体内检测不出相关病毒,
进一步检查发现,
患的是一种更加少见的病症!
突发高热不退、呼吸困难
紧急实施VV ECMO
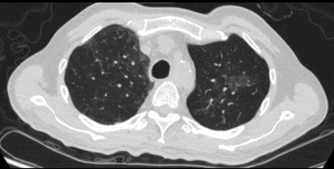
“我以为是普通感冒,便没有太在意。没想到,这个病差点要了我的命......”今年1月初,家住南宁的张大伯突然出现了咳嗽、发热、呼吸困难、咳白色粘痰的症状,一开始以为是普通的受凉感冒,吃了感冒药后症状并没有好转,便前往当地某医院就诊。排除新冠病毒及其他常见的呼吸道病原抗体,经检查,张大伯的肺部CT显示右肺上下叶感染性病变,诊断为肺炎收治入外院。随后几天,张大伯病情迅速恶化,住进外院ICU对症治疗两天,但效果依旧不好,张大伯仍然反复发热,病变较前明显加重。

1月14日晚上,在连续发热的第八天,张大伯辗转来到广西医科大学第一附属医院,以“社区获得性肺炎(重症)I型呼吸衰竭”紧急收住在重症医学科二病区进行治疗。入院时,张大伯体温达39.5℃,心率高达140以上,呼吸快至40次/分,血氧饱和度低至87%,并伴有严重的急性呼吸衰竭。张大伯在入科后立即予经鼻高流量吸氧,但他的氧分压仍无法维持正常,随后重症医学科医生决定对其立即进行气管插管术,并以俯卧位通气改善气血比例及加强痰液引流等治疗。

经过一夜的对症治疗,患者的氧合仍无明显改善,氧合指数仍小于100mmHg,张大伯的病情依旧在快速恶化中,出现了紧急ECMO穿刺的指征。重症医学科团队详细讨论病情,与家属充分沟通后,立即汇报汤展宏主任医师、胡军涛主任医师、潘熠平主任医师,启动ECMO响应团队,紧急为张大伯实施VV ECMO“人工膜肺”支持治疗,仅用1小时,就成功建立ECMO管路,张大伯的血氧迅速改善,呼吸指脉氧由入院前的87%逐渐上升为93%,将他从死亡线上挽救回来。
排查发热“元凶 ”
竟是感染少见鸟疫“鹦鹉热”
对于张大伯的急危表现,重症医学科二病区主管医生蒋良艳根据临床经验觉得并不是常见的“肺炎”这么简单,很有可能是一种少见的疾病。为了印证心中猜想,她再次向患者家属追问病史,发现张大伯生活附近有人养鸟,虽然没有直接接触过,但他最近曾逮过老鼠,也去过附近的禽类市场。
此时,“鹦鹉热”——这个疾病从蒋良艳的脑海中飞速闪过,于是第一时间为患者送检基因测序,并终于找到了发热“元凶”——鹦鹉热衣原体。据管床主任潘熠平介绍,鹦鹉热又称“鸟疫”,是一种较少见的疾病,鹦鹉热的感染途径可能是直接接触疫鸟和吸入疫鸟鼻腔分泌物的气溶胶、粪便或者羽毛粉尘。



查明了病因,治疗就有方向了。重症医学科团队立即调整抗生素并对症治疗,经过医护人员的精心治疗和护理,张大伯两肺情况好转,成功撤除ECMO。1月27日,张大伯神志清醒病情平稳,各项指标、脏器功能也都恢复正常,转至普通病房继续治疗。2月9日,张大伯顺利治愈出院。


鹦鹉热(Psittacosis)是一种由鹦鹉热衣原体(Chlamydia psittaci)在人类、鸟类和一些哺乳动物中引起的自然发生的传染病。症状可能从轻度到重度不等,通常在接触病原体 5~21天后突然出现,可累及多个系统,其中肺部是最常受累的器官之一。鹦鹉热衣原体是导致社区获得性肺炎的罕见病因(<1%)。
鹦鹉热是怎样传播的?
当人吸入该衣原体,通常老弱病幼等免疫力低下的人群可能被传染。这衣原体通常是来自已经受到感染的鸟的干粪。人们也可能因为口与鸟嘴接触或触摸已经受到感染的鸟的羽毛或组织而被传染。还没有证据显示鹦鹉热可以由人传染人。
所有鸟儿都有可能受到感染,但作为玩赏的鸟,例如鹦鹉、大尾鹦鹉、鸡尾鹦鹉和家禽(火鸡和鸭子)是最常传染人的鸟。最易染上鹦鹉热的人是那些因为工作的关系或嗜好而与鸟接触的人。例如儿的主人、宠物店的雇员、兽医或家禽的加工工人。

鹦鹉热衣原体传播给人类后,以呼吸道感染为主,主要表现为发热、畏寒、咽痛、头痛等非特异性流感样症状,严重者可进展为重症肺炎,出现呼吸困难、发绀、烦躁及昏迷等症状,往往预后不佳甚至死亡。疾病潜伏期通常在 5~14 天,但也有涉及较长潜伏期的例外情况,鹦鹉热衣原体肺炎最常见的临床症状是发热、干咳、呼吸困难、头痛、肌痛。也有脉温分离(发热但脉率未增加)、意识改变、畏光、肝脾肿大、非特异性皮疹和咽炎等表现。

①首先是避免与病禽的接触,在接触鸟类时带好口罩,手套这些防护用具。
②老弱病幼一些免疫力低下的人员尽量避免或者减少与鸟类的接触。
③食用家禽时要煮熟,出现不明原因的高热、头痛、呼吸困难等症状时要立即去正规医院治疗,如有这方面的接触史要在治疗时及时与医务人员说明。

①迄今为止,鹦鹉热衣原体肺炎的诊断是基于临床表现和接触史。然而,没有明确接触史的患者是常见的。传统的诊断方法检测条件要求高,只能在专业实验室完成,一般医院难以开展,并且单纯依靠传统的诊断方法可能会导致误诊、漏诊和延误治疗。
②由于鹦鹉热衣原体肺炎的非特异性征象,感染早期的鉴别诊断具有挑战,根据临床症状、影像学表现及流行病学史,还需要与流感病毒、真菌等引起的肺部感染相鉴别。
返回顶部