2025
12-04
11月初,在河池某县的一个农家里,一声尖叫划破了院子里的宁静。年仅6岁的小男孩小轩(化名)在玩耍时不慎从约2米高的围墙上摔...
2025-12-04 MORE >2025
12-02
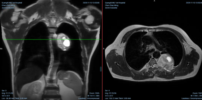
近日,广西医科大学第一附属医院脊柱骨病外科团队与胸外科纵隔专业组团队成功为一名罹患巨大胸主动脉旁神经鞘瘤的患者实施...
2025-12-02 MORE >2025
09-11
近日,17岁的少年小宇(化名)在我院血液内科干细胞移植病区冲过重重难关,最终白细胞成功植入,败血症和肺部感染得到控制。这标...
2025-09-11 MORE >2025
08-07
近日,我院多学科团队通力合作,为一名患有甲状旁腺腺瘤的危重孕妇患者实施手术。然而,手术拆除“炸弹”后,还有一场苦战等着医...
2025-08-07 MORE >2025
08-07
8月4日,广西医科大学第一附属医院儿科心血管团队成功为一名出生仅23天、体重2.7公斤的新生儿实施了高难度的动脉导管未闭...
2025-08-07 MORE >2025
04-17
近日,广西医科大学第一附属医院小儿外科李伟副主任医师团队联合神经外科、麻醉手术中心等多学科专家,成功为一名11岁脊髓栓...
2025-04-17 MORE >2025
04-17
近日,广西一名15岁男孩高热不退、胸痛、气促、血氧下降、心功能不全,生命垂危。广西医科大学第一附属医院感染性疾病科联合张文...
2025-04-17 MORE >2025
04-10
近期,广西医科大学第一附属医院小儿外科联合儿科、儿童重症监护病房(PICU),急诊科、麻醉手术中心、放射学科等多学科团队,成功...
2025-04-10 MORE >2025
04-07
近期,广西医科大学第一附属医院耳鼻咽喉头颈外科何光耀主任医师联合神经外科等多学科团队,成功救治了一位因鼻咽癌放疗导致...
2025-04-07 MORE >2025
03-28
Lương y như từ mẫu。这是一句越南俗语,意思是“良医如慈母”。为了感谢广西医科大学第一附属医院儿科三病区医护团队,一位越南...
2025-03-28 MORE >
返回顶部