来源:神经外科 王圣泳发布时间:2022-09-16编辑:谭凌宇校对:曾雨珊审核:蓝飞燕点击: 次
心跳骤停!孕产妇危在旦夕 神经外科与死神赛跑

高效联动!病情危急复杂 多学科接力手术抢救
我院医务部收到关于患者叶女士的病情汇报后,医务部部长尚丽明主任医师第一时间赶到神经外科,现场统一指挥和调度,通知产科、麻醉科、新生儿科、重症医学科等多学科专家迅速集结到神经外科病房,争分夺秒地讨论研判孕产妇和胎儿的病情,以最快速度确定了初步抢救方案。


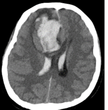
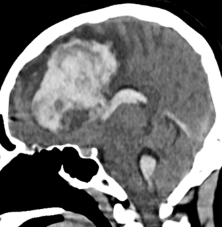
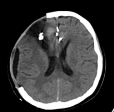
▲急诊头颅CT正侧位图显示患者颅内大量出血
患者病情危急,行急诊手术前须完成一些关键必要的检查如头颅CT扫描等。为提高效率,专家们充分利用送检时间同步会诊。当患者被送进手术室时,最可行的手术方案和目标正好出炉:神经外科开颅血肿清除减压术和产科剖宫产术同时同台进行,麻醉科、手术室和新生儿科在手术室全程充分协作、监护和保障,重症医学科随时做好该孕产妇围手术期各种应急处置准备。


术后,叶女士被送回到神经外科重症监护病房进行术后复苏和监护治疗。当第一阶段的抢救手术结束时,病房窗外的晨曦提醒大家,时间已来到6月26日凌晨6时。

乘胜追击!再次手术及时精准 消除患者再出血隐患
开颅术后,经过数小时复苏,患者叶女士意识逐渐恢复了。但是,让神经外科医务人员揪心的问题仍没有解决:在25日的抢救过程中,由于考虑到胎儿安全,全程尽可能避免或减少接触放射线、使用伤害胎儿药物,神经外科治疗原则上是解除颅内高压危象。但凭经验可判断,患者如此年轻就出现严重的脑出血,她的颅内患有脑血管病如动脉瘤或血管畸形的可能性极大。




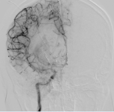
▲经过给患者“量身定制”的介入栓塞术治疗后,畸形血管团完全消失,正常的脑动脉及分支保留通畅
乘胜追击,刻不容缓!征得家属同意后,冯大勤立即带领神经外科脑血管病专业团队,在麻醉科、放射学科介入手术室等团队密切配合下,有条不紊地给叶女士完成了“全脑血管造影术”“球囊辅助下脑动静脉畸形栓塞术”和“支架辅助血管重建术”,在保留病灶周围正常血管结构的前提下成功栓塞了畸形血管团。手术一气呵成,体现了微创、高效、安全和个性化的理念与特点。术后经麻醉复苏,患者意识也恢复如初。


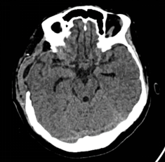
▲术后复查头部CT显示颅内血肿清除且无再次出血现象。

再获成功!多器官功能损害突发 多学科再次会诊急救
峰回路转,48小时的连续救治,并没有抵达最终胜利的彼岸。患者身上的“孕产妇”“心肺复苏后”“颅内高压危象”“短期、多次麻醉和手术”等多个特征,提示着接下来的恢复治疗不会一帆风顺。
6月27日,术后第二天,各种并发症陆续出现并损害了多器官功能,休克、心脏功能衰竭、高热、肺功能下降,患者再次陷入病危。我院再次及时组织了多学科会诊并紧急施救。中国医师奖获得者、重症医学科一病区副主任温汉春主任医师,广西著名危重孕产妇救治专家赵晓琴教授知晓该患者病情后,第一时间赶来会诊指导抢救。
经过全院多次、多学科齐心协力、72小时连续奋战的救治,叶女士的病情终于稳定并逐步好转。

善始善终!我院中医科护航母婴康复出院

▲叶女士(左图)和她健康成长中的女儿(右图)

科普知识:广西脑血管病的诊疗技术
叶女士的成功获救得益于我院先进的脑血管病诊疗技术,该技术由广西医科大学第一附属医院神经外科创始人梁承纲教授创立。
1979年,梁承纲教授成功进行了广西首例“经皮穿刺股动脉脑血管造影术”,继而又通过显微神经外科开颅手术治疗各种脑血管病如颅内动脉瘤、脑和脊髓的动静脉畸形、动静脉瘘等脑血管病。
1981年,神经外科开展的“颅外—颅内动脉吻合治疗缺血性脑血管病研究”获广西壮族自治区科技成果三等奖。
上世纪90年代,神经外科肖绍文教授作为全国最早的一批学者公派到法国进修学习“神经血管介入诊疗技术”,学成回国后,肖绍文教授最先在广西开展了颅内动脉瘤、脑和脊髓的动静脉畸形、动静脉瘘等介入栓塞诊疗术。
经过了40多年、几代人的努力,神经外科在介入诊疗手术、开颅显微手术等脑血管病治疗上获得长足发展。
目前,神经外科已成立了冯大勤教授担任组长、人才结构合理、诊疗技术全面的脑血管病亚专业组。专业组能熟练运用介入诊疗术、开颅显微外科术(如动脉瘤夹闭术、颅动脉搭桥术、内膜剥脱术等)处理颅内动脉瘤、脑和脊髓动静脉畸形、脑动静脉瘘和缺血性脑血管病如烟雾病、颈内动脉狭窄等各种出血性脑血管病。
每一次诊疗,神经外科都能够从患者角度出发,科学制定准确、合理、高效的诊疗方案进行施治,努力为广大脑血管病患者提供精准、优质、安全、可及的医疗服务。
返回顶部