来源:心血管内科三病区 史吉莹发布时间:2022-09-16编辑:谭凌宇校对:蓝歆旻审核:蓝飞燕点击: 次
反复胸闷伴心悸乏力 却查不出病因

检查仅用40分钟:团注与扫查同步

精准定位:元凶是心肌微循环障碍
检查发现患者静息灌注未见异常(图1A),负荷灌注其左心室多节段可见心内膜下灌注缺损(图1B),延迟强化未见异常(图1C),提示患者心肌存在微循环障碍,这也解释了患者心外膜冠状动脉主要分支未见明显狭窄,仍反复出现胸闷心悸等症状的原因。小陈有糖尿病及高血压基础病,导致心肌微循环障碍,故治疗上予改善心肌微循环。

图1A 图1B 图1C
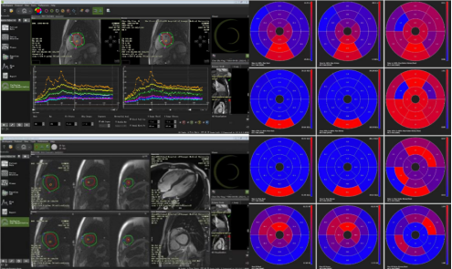
负荷心肌灌注检查增加了心肌微循环障碍患者的检出率,同时我院放射学科可通过后处理软件对微循环障碍进行定量及半定量分析(图2)。负荷心肌灌注可应用于冠状动脉交界性狭窄患者、冠状动脉狭窄<50%的患者以及非缺血性心肌病患者评估其是否存在微循环障碍,是目前检出心肌微循环障碍的可靠且无创的检查方法,可为心内科医生对这类患者进行个性化治疗提供客观依据和疗效评价。

图2

返回顶部