来源:马山分院发布时间:2023-11-10编辑:何梦莹校对:曾雨珊审核:蓝飞燕点击: 次
近日,在广西医科大学第一附属医院“组团式”帮扶专家王圣泳主治医师的协助下,马山分院急诊科成功救治一例该院接诊年龄最小的重型颅脑伤幼儿。
3岁的明明,不慎从两轮电瓶车的后座摔落,头部着地受伤,伤后出现短暂的昏迷。随后患儿逐渐清醒,出现精神萎靡,呕吐、呼吸急促,并出现昏迷症状。意外发生后,家长马上将患儿抱送至马山分院儿科急诊。

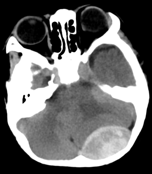
时间就是生命!到院后,急救团队立即对明明进行吸氧等紧急处理,待生命体征稳定后,送行头部CT检查,结果显示左枕部急性硬膜外血肿,血肿已超过10ml,已压迫到了小脑及脑干,导致脑组织移位,极易形成脑疝。患儿病情危重,随时可能因为脑疝出现脑功能衰竭死亡。
这是分院目前接诊年龄最小的颅脑损伤患者,由于患儿颅脑损伤严重,小儿神经系统麻醉风险大。马山分院创伤中心秘书曾永杰主治医师立即启动急救创伤中心系统,将情况上报至院总值班,医务科科长韦耿贵作为总指挥,同时通知分院神经外科、麻醉科、重症监护室、儿科、放射科值班医生及科主任迅速到达急诊抢救室。
经过充分讨论,大家一致认为,患儿需紧急行开颅手术治疗,手术风险大,需要麻醉科积极配合,重症监护做好术后监护,儿科配合后续治疗衔接等工作。团队在征得患儿家属同意后,立即将患儿护送至手术室。
与此同时,神经外科韦庆利主任立即请到广西医科大学第一附属医院“组团式”帮扶专家王圣泳主治医师共同讨论。神经外科手术具备复杂程度高,难度大,技术高要求等特点,而由于该小儿患者血肿跨越横窦,骨质薄等特殊性,小儿神经外科往往有着比成人神经外科对开颅手术操作有着更高的要求。

最终,由神经外科韦庆利主任医师、王圣泳主治医师、黄静主治医师及麻醉科医生护士成立的手术救治团队,为患儿实施开颅血肿清除术。整个手术历时约2小时,手术过程顺利,术后复查颅内出血完全清除,并转入重症监护室继续治疗。术后第6天,明明被转入普通病房。

经韦惠芳副主任医师带领的儿科团队精心治疗,目前,明明已经顺利从儿科康复出院。

王圣泳提醒广大家长,造成儿童颅脑创伤的原因,主要包括坠床、高处跌落、运动意外致伤等,年龄以10岁以内居多。因儿童(尤其是4岁以下婴幼儿)尚不能完全表达自身不适,难以及时发现颅脑损伤症状。若患儿在头部外伤后出现如头痛头晕、恶心呕吐、意识不清、肢体乏力等症状,切勿轻视,需及时来院就诊,进一步了解是否存在颅内损伤可能,以便及时得到治疗,避免错过最佳治疗时机。
返回顶部