反复气促3年多!我院老年病学呼吸内科成功开展肺血管介入手术

来源:老年病学呼吸内科龚臣、闫萍发布时间:2024-05-29编辑:谭凌宇校对:曾雨珊审核:蓝飞燕点击:

分享到:

近日,我院为一名“慢性血栓栓塞性肺动脉高压症、慢性肺源性心脏病”患者成功开展了肺血管介入手术。目前患者已顺利出院。


48岁的王女士(化名)因“反复气促3年余”,在当地就诊为肺栓塞并间断抗凝治疗但气促不见好转。今年1月,王女士到我院呼吸与危重症医学科门诊就诊,自述患病后感觉精神、食欲、睡眠、大小便正常,体重无明显变化。


经CT下肺动脉造影(CTPA)检查,结合病史、临床症状,医生诊断为“慢性血栓栓塞性肺动脉高压症”,继续予抗凝治疗,但患者活动后仍气促明显。为进一步诊治,2024年3月25日再次来院就诊并入住老年病学呼吸内科病房。入院诊断为慢性血栓栓塞性肺动脉高压症、慢性肺源性心脏病。


老年病学呼吸内科主任闫萍主任医师组织科内讨论认为患者诊断明确,抗凝效果不理想,经皮肺动脉球囊成形术是当前可行的肺血管介入术。在心血管内科三病区黄锋主任医师、导管室大力支持协助下,老年病学呼吸内科龚臣副主任医师为患者行肺动脉球囊成形术。


局部麻醉下,手术团队穿刺患者右股静脉并置入内径为2.2 mm的血管鞘置换长鞘,把导管送入,分别测量上腔静脉、右心房、下腔静脉和主肺动脉压力并行选择性肺动脉造影,显示血管多发狭窄、血流欠佳。手术团队沿指引导管先后把导丝送入至肺动脉血管主干及分支,沿导丝送入多种型号的球囊并依次扩张,血流改善,血管管腔较前扩大。


整个操作像在细小的针眼(血管鞘)里穿引细线(导丝),有如大管套小管环环相扣。经过2小时的努力,手术成功。


闫萍介绍,呼吸系统血管是指包括肺动脉、肺静脉及体循环在内的各种大小的肺血管。呼吸系统血管介入手术涉及范围广,不只是呼吸系统问题,还包括心血管、放射介入相关领域及感染性疾病、肿瘤性疾病或其他系统的疾病,有待多学科专家、相关部门及更多年轻医生积极参与和大力支持。随着业界对肺血管疾病的重视及深入探究,呼吸内科医生因具备呼吸解剖、生理及呼吸疾病的专科知识,在开展肺血管介入手术上优势日益明显。


据了解,肺血管介入是小众项目,目前国内呼吸内科开展肺血管介入的医院仅40-50家。2023年我院老年呼吸内科青年医师骨干龚臣主动申请到国家呼吸疾病研究中心——广州医科大学附属第一医院肺血管病研究中心学习。在我院医务部、心血管内科、导管室、放射学科等多学科的协助支持下,老年病学呼吸内科积极筹备,率先在区内呼吸内科开展肺血管介入技术,目前已成功进行7例,标志着我院呼吸内科参与血管介入迈开了坚实一步,有助于提高我院肺血管疾病的诊治能力和水平。


▲术前CTPA检查发现,两肺动脉大面积陈旧性肺栓塞;肺动脉高压



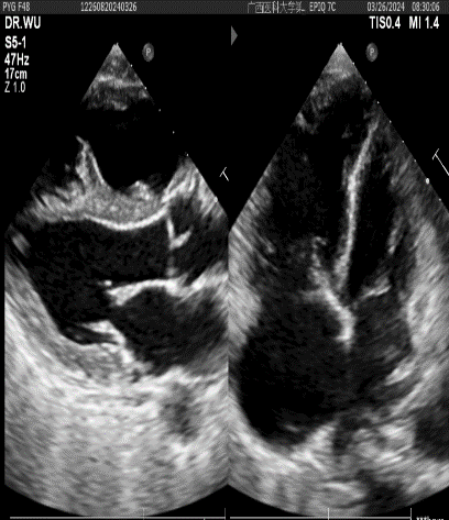
▲术前心脏彩超:右房室增大+三尖瓣、肺动脉瓣轻度关闭不全+肺动脉主干及分支增宽


▲术中

返回顶部